Le bruxisme est l’action de grincer des dents, particulièrement durant le sommeil, en produisant des bruits de frottements dentaires.
Blog - Page 5
La quantité de fluor présente dans les eaux minérales est très variable et il est important pour vous de bien la connaître.
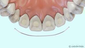
La totalité des dents des deux maxillaires constitue un ensemble stable et la perte d’une seule dent peut perturber tout l’équilibre de la bouche.
Affichage des articles 25-30 sur 92
Découvrez notre collection de fiches pédagogiques






